Veneers – Sparks, NV
Conceal Chips, Cracks, Stains, and Gaps At Once!
If you have lost all or most of your teeth, you may face a number of daily hardships. It may be difficult for you to enjoy a balanced diet, and you may have little confidence in social situations. Replacing your lost smile is important! Rather than turning to traditional dentures, visit our office to talk about implant-supported tooth replacement. The All-on-4 procedure could even replace your missing teeth in a single appointment!
Why Choose Vista Dental Care for Veneers?
- Two Exceptional Dentists
- Flexible Financing Available
- Appointments As Early As 7 AM
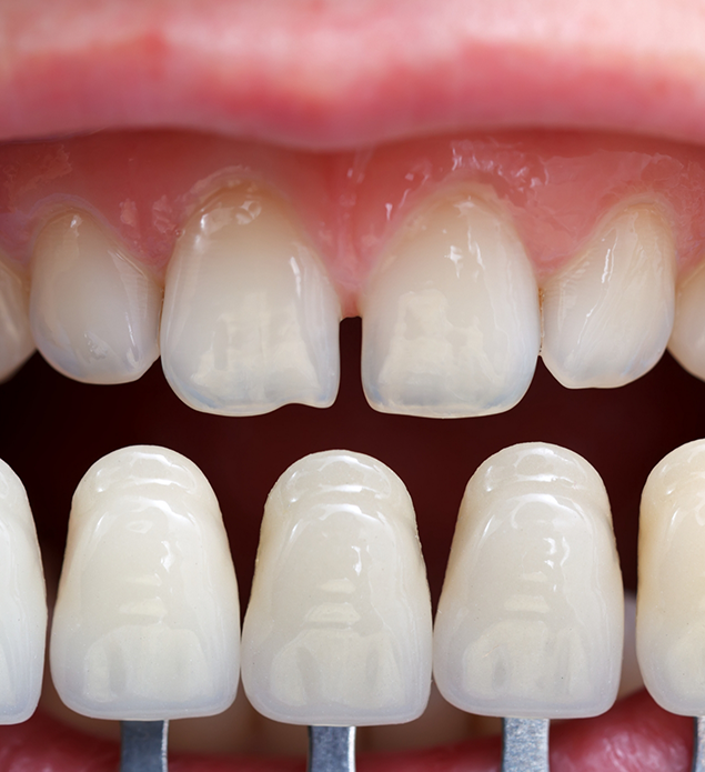
What Are Dental Veneers?

Veneers are thin sheaths of dental-grade porcelain that are affixed to the front-facing surfaces of teeth to conceal cosmetic flaws. We typically recommend veneers for those patients who want to correct numerous imperfections, including:
- Chipped teeth
- Misshapen teeth
- Gapped teeth
- Stained teeth
- Cracked teeth
The Process of Getting Veneers

If we determine that veneers are your best option, you’ll need to visit our office at least two times. During the first visit, we’ll “prepare” your teeth by removing a small amount of enamel. Then, we’ll capture digital bite impressions that are used by our lab to craft your custom porcelain veneers. Usually, we place temporary veneers to protect your prepared dental structures in the meantime as well. Once we receive the final veneer, you’ll return to our office to exchange the temporary for your custom veneer. Then, the entire process will be complete!
The Benefits of Veneers

We’ve mentioned a few noteworthy benefits of veneers in the previous sections, including that veneers can conceal multiple dental flaws at once and can be placed in as little as two appointments. However, there are several additional reasons this continues to be a popular cosmetic dental treatment! To start, veneers are stain-resistant and easy to care for. They also can last for upwards of 20 years with the right best practices in place. Plus, the size, shape, and color can be completely customized to your specific dental needs and smile goals.
If you want to learn more about veneers – from if you’re a candidate to how long your treatment timeline will be – don’t hesitate to schedule a consultation with our Sparks cosmetic dentist. Once that appointment is on the calendar, you’ll be a big step closer to your dream smile being a reality!
Understanding the Cost of Veneers

Veneers are a great way to completely transform the appearance of your smile. However, it’s important to consider the cost of your cosmetic treatment so you don’t encounter any surprises. To find out the exact cost of getting veneers, we will need to see you for a consultation. Every patient is different and so is the cost of veneers. Until then, here are some things to take into consideration.
Cost VS Cosmetic Dentistry: What’s Right for Me?

There are many cosmetic options out there, and they are all at different price points. Here are some of the most popular ones we offer:
- SureSmile – Clear aligners have the ability to straighten teeth dramatically, but they are an investment. Orthodontic treatment generally costs several thousands of dollars. However, they are a leading way to correct misalignment and bite issues.
- Teeth Whitening – Whitening is a relatively quick and more affordable cosmetic option, but it only helps with the shade of your teeth. Results can last anywhere from a few months to a couple of years before needing to be retouched.
- Dental Bonding – This is one of the most affordable options available. Usually, dental bonding can be completed within an hour. However, it’s only helpful for correcting minor changes, like reshaping damaged teeth. Results can last for a few years.
- Veneers – Veneers certainly aren’t the cheapest option, but they are the easiest way to completely transform numerous aspects of your smile at once.
How to Make Veneers Affordable

Veneers aren’t usually covered by dental insurance because they are considered to be an executive treatment. However, this doesn’t mean that there aren’t other options to help make veneers more affordable. We work with CareCredit and Lending Club – third-party financing companies that can split the cost of treatment into manageable monthly installments with little to no interest. To learn more about your options, talk to one of our friendly team members.
To find out exactly how much you can expect your treatment to cost, schedule a consultation with us. We are eager to help you achieve the smile of your dreams.
Veneer FAQs
